Fibrosing Mediastinitis With Right Sided Aortic Arch
Prof .Nedumaran MD DM, Prof. of Medicine
Dr.Arul MD, Dr.Pratheesh .PP
Coimbatore Medical College
Sixty year-old male admitted for complaints of shortness of breath with dilated veins over chest wall and facial puffiness clinically featuring as possibility of superior vena caval obstruction due to carcinoma bronchus.
Investigation of the
CT and MRI chest interestingly revealed
Fibrosing Mediastinitis with right sided
aortic arch which is a rare
presentation. The biopsy was not contributory for any etiology with
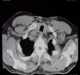
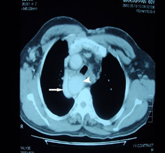
possibility of Idiopathic Fibrosing Mediastinitis. CT scan
chest shows fibrosis of mediastinum (black arrow) distended
azygos vein (white arrow), Right sided aorta (white arrow head) MRI chest
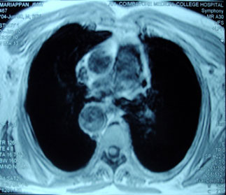
shows fibrosis of mediastinum and right sided aortic arch







