Situation 1
![]() |
![]() |
|
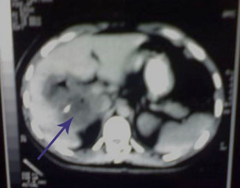
A 35 years old, male, developed fever and generalized bony aches, so he sought medical advise, received antibiotics and symptomatic treatment for one week but the condition sustained. So he was admitted to the fever hospital, diagnosed typhoid fever, received treatment, antipyretics for one week and discharged with little improvement. Days later the condition recurred with appearance of right hypochondrial discomfort . Our examination revealed high grade fever , toxic look, enlarged tender liver. CT: revealed a big hepatic abscess (arrowed).
|
|
![]() |
![]() |
|
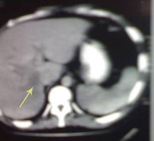
After IV umbrella of Metronidazole, (Ampicillin + Sulbactam) and (Cilastatin+Imipenem) CT guided drainage of one thousand c.c. of pus, the abscess has regressed (arrowed). Symptoms and signs subsided and general condition improved, patient discharged quite well.
|
|





