Situation 12
Submitted by:Dr. Nedumaran
Professor of Medicine and Rheumatology
India
![]() |
|
![]() |
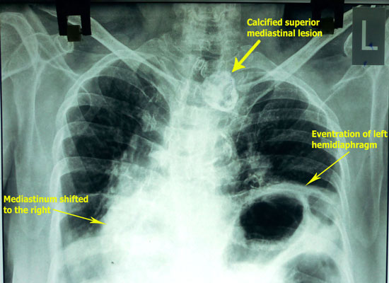
-A patient
presented with acute dyspnea.
-Patient was investigated and found to have eventration of diaphragm and
taken up for surgery for correction by cardiothoracic surgeon.
-Summary of radiological findings:
-Eventration of left hemidiaphragm with mediastinal & tracheal shift to
the right.
-Cardiomegaly with bilateral pleuarl effusion.
-Calcified lesion anterior and to left of trachea in the superior
mediastinum
(? calcified thyroid nodule, ? calcified lymph node)
Submit your comment through the following section



