Situation 16
![]() |
![]() |
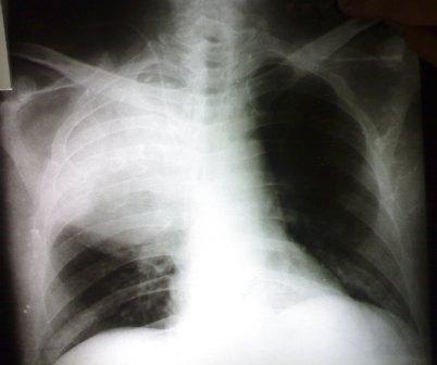
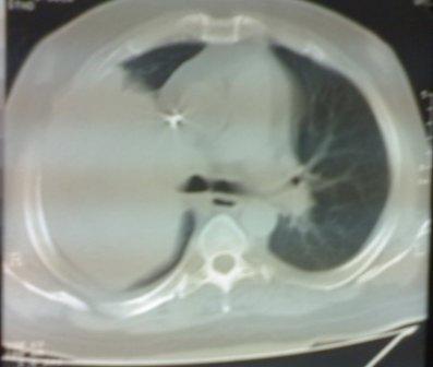
This photo is for a patient, with
chronic renal failure and on regular hemodialysis, presented with fever
and constitutional symptoms.
To go further:
The well-circumscribed pattern of the lesion encouraged us to try
aspiration that revealed frank pus, so the first impression was with the
diagnosis of encysted empyema, particularly that our patient is with
chronic failure and on disalysis.
But if you meticulously re-check the photo especially the plain X-ray;
you can see an area of increased density adjacent to the trachea that
may reflect an underlying mass, so bronchoscopy was done to reveal a
mass at the right upper bronchus.
The histopathological examination of the obtained biopsies revealed
"sqaumous cell carcinoma".
Submit your comment through the following section



