Situation 19
![]() |
![]() |
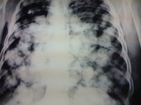
Fluffy-cotton appearance pneumonia
Submit your comment through the following section
![]() |
![]() |
Home About the website clinical puzzles case reports photo gallery solved cases insights مقالات New and Updates
Situation 19
![]() |
![]() |
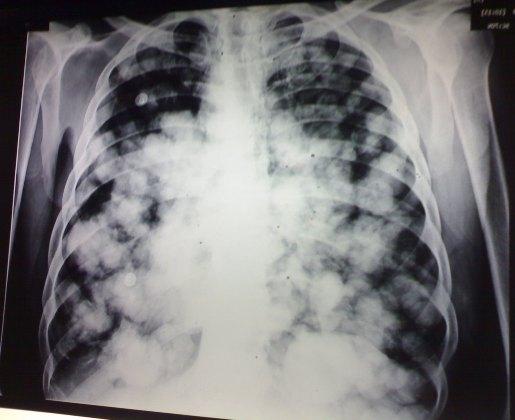
Fluffy-cotton appearance pneumonia