Situation 20
Case 1
![]() |
![]() |
![]() |
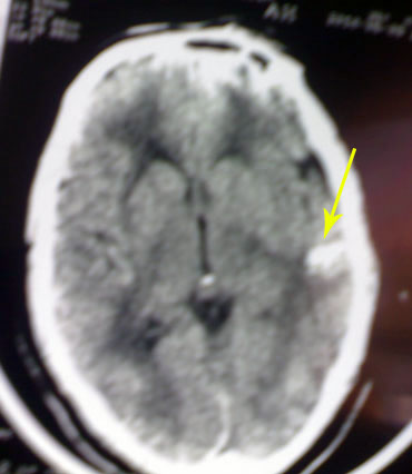
-A 35 year-old male presented to the
ER with tonic-clonic convulsions.
-No history of any medical problems.
-Examination: severe hypertension (210/130)
-CT and MRI ordered: see the photo
N.B. you must consider a primary cause in a patient with newly developed
fits.
Case 2
Compare with the following case
![]() |
|
![]() |
|
![]() |
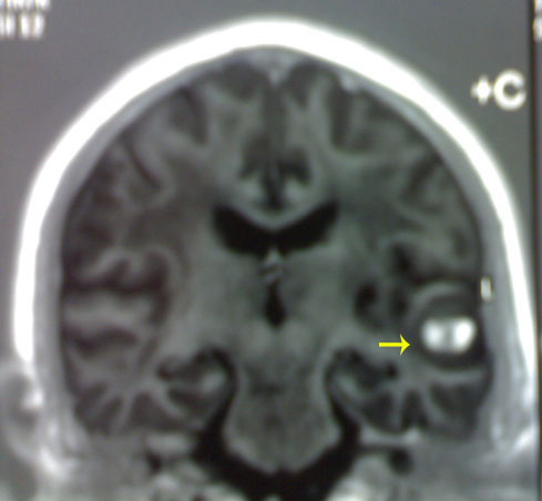
A 74 year-old female, diabetic, complained of
unilateral right upper limb fits that became generalized.
CT And MRI brain ordered with the above photos results.
Comment on Case2 by:
Dr. Abd-Ellah Nazeer
Professor of radiology
Al Azhar university
Left high parietal subcortical lesion with mass effect manifested as
effacement of the adjacent sulci, mostly neoplastic mass lesion for
better assessment by enhanced MRI study.
Submit your comment through the following section






