Situation 23
![]() |
|
|
Diabetic patient, 65 year-old presented to our emergency unit in a
ketoacidosis state, also there was fever, cough and expectoration.
She received the management of the ketoacidosis state plus broad
spectrum antibiotics, antipyretics and expectorants, her ketoacidosis
state improved with nearly controlling of the blood sugar but in spite
of this there was persistence of the fever, cough, and expectorations.
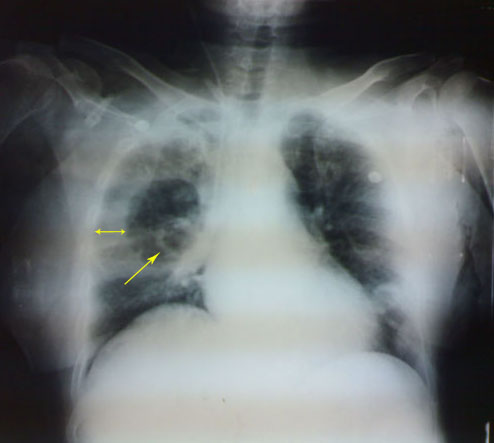
Her plain chest X-ray revealed :
-right lung cavity lesion (see the photo)
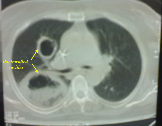
C.T. chest revealed:
-right thick-walled cavity lesion with radio-opaque shadow.
?? Aspergilloma (fungal infection with Aspergillus fumigatus). However
we sent the sputum for the studies.
Submit your comment through the following section


