Situation 27
![]() |
|
![]() |
- A female patient who gave labour 2 months ago.
- Presented with acute right hypochondrial abdominal pain.
Examination: gives no significant findings.
Investigations:
R.B.S. 100
blood urea:16
S. creatinine:0.4
SGOT 305
SGPT 337
S. total protein 6.7
S. Albumin 3.5
bilirubin :total 0.7
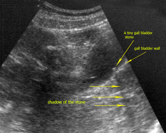
In the light of the above data and photos of abdominal ultrasonography,
submit your judgment through the answer section below.
Looking carefully:
The pain is the hero in this situation which was severe and distressing
and of acute onset 2 months after having childbirth, so it is worthwhile
to re-check the gall bladder and the biliary tract meticulously so that
no thing to be missed even small.
Now you can re-check the photo to see the very small stone which is a
strong indicator for the others that could be one or more of them were
passing through the biliary tract giving rise to both the severe
resistant pain and the disturbed liver functions .
This is an answer emailed by Dr.Eman Taha:
"...as regard to history ofa bdominal pain, elevated liver enzymes there
may be obstructive cause but normal bilirubin against ultrasound, I
think there is thick wall gall bladder but no stones seen so follow up
must be done and MRCP must be ordered to exclude obstruction..."
Submit your comment through the following section



