Situation 28
![]() |
![]() |
![]() |
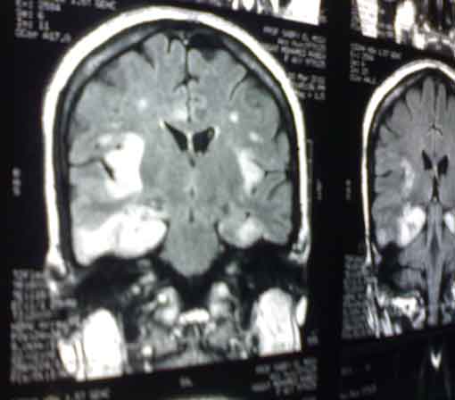
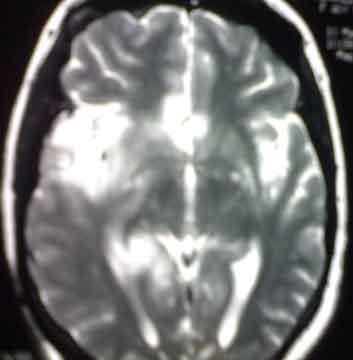
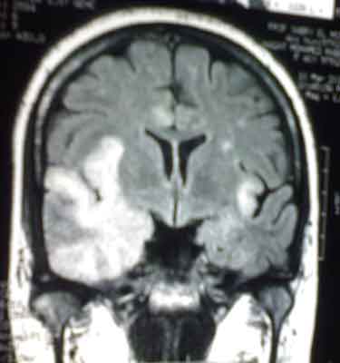
MRI for a female patient aged 41 who presented in a state of disturbed
conscious level which preceded days before by fever, headache,
hallucinations, behavior changes and weakness of lower limbs.
What is the diagnosis?
It is a case of "Herpes Encephalitis". Note
the obvious temporal lobe involvement.
N.B. Herpes simplex encephalitis presents with nonspecific symptoms: a
flu-like prodrome, followed by headache, fever, behavioral and speech
disturbances, and focal or generalized seizures. The temporal lobe is
often involved. Untreated disease and presentation with coma carry a
high mortality rate, with many survivors suffering neurologic sequelae.
Submit your comment through the following section




