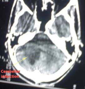
Situation 4
![]() |
Male patient, in his twenties, drug abuser, presented with acute
unsteadiness.
Examination revealed: Right side gate deviation and right sided
intention kinetic tremors.
CT revealed right cerebellar infarction (arrowed).
Submit your comment through the following section


