Answer 13
How to deal with this patient?
Telling the story (I hope you can live the situation as I did):
"It was a dreadful cloudy situation, since the patient was in a
critical state and every minute must be counted, so we were in a
challenge with the time to reach to a proper diagnosis.
I know that the immune-mediated emergencies will be the first
thought but our hunch directed us to another thinking, why not a case
of severe renal infection in a diabetic with severe systemic septic
injury?
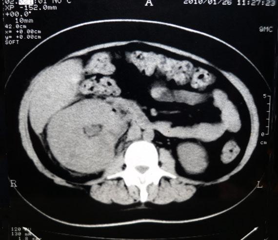
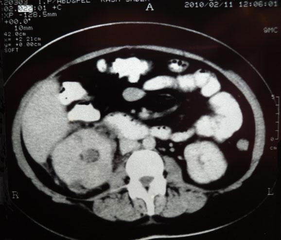
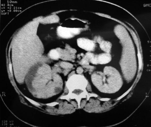
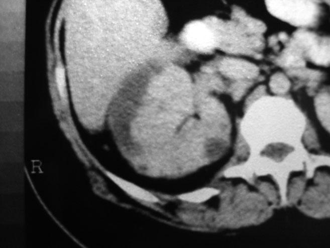
This guessing was supported by little more tenderness on the right
loin "only observed by meticulous clinical examination" and hence we
started the treatment immediately by combined I.V. antibiotics and sent
the patient for another ultrasonography with more concentration on the
kidneys, particularly the right one, that revealed just doubtful look
and not sure of right renal affection, however this supported us to
continue the already stared treatment.
Now you can see the photos which will tell you more than the words
to do but you must consider that all these progressions occurred in a
dramatic manner, the last thing I want to say: "The patient
survived"
N.B. The
treatment of the immune based emergencies could be hazardous in this
situation.
Comment:
"I have seen the case on presentation and I can say that it was like a
storm for the patient and us." by A. Hamdy
Chronological Photo-sequence
of the case progression
N.B. click on the figures to see them in the actual size for the
ease of reading
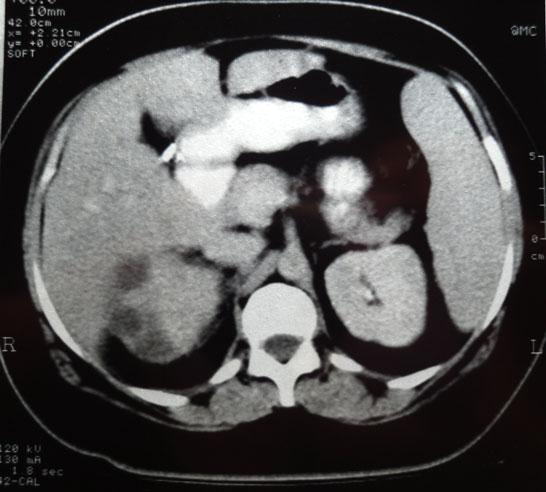
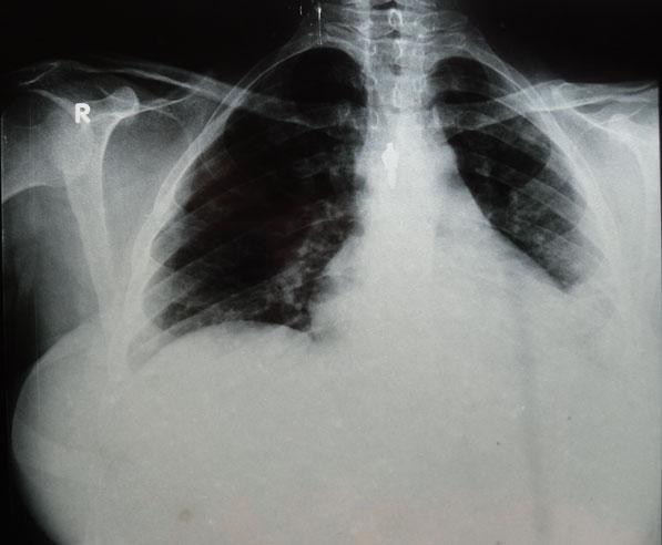
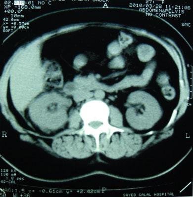
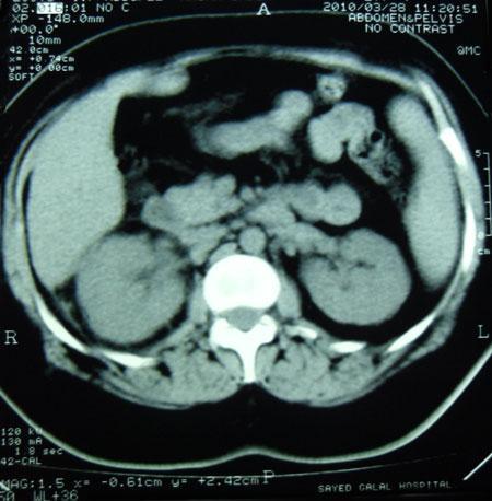
-On presentation:
![]() |
![]() |
![]() |
![]() |
![]() |
![]() |
![]() |
![]() |
![]() |
-Labs. Results:
![]() |
![]() |
![]() |
![]() |
![]() |
![]() |
-After 2 months of presentation and treatment:
![]() |
![]() |


















