Answer 23
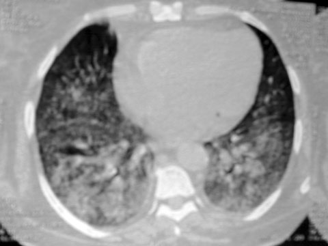
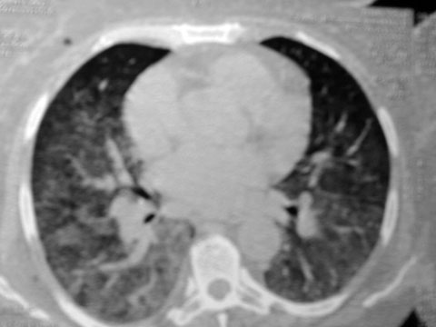
There was discrepancy between the clinical findings and the chest X-ray,
however high resolution CT scan findings (see the photos) have pushed
the radiologist and some of our colleagues towards the sarcoidosis, but
as for me I had some reservations regarding this as a final diagnosis
before bronchoscopy to rule out endobronchial lesions specially "endobronchial
tuberculosis".
![]() |
![]() |



