Answer 26
- An answer emailed by Dr. Amira:
".. السلام
عليكم ورحمة الله وبركاته ,
As regard case 26 about 26
year-old male patient complaining of 4month duration of abdominal pain,
vomiting, diarrhea, weight loss and tender hepatomegaly. I have noticed
thickened intestinal wall in CT, so I think it is a case of Crohn's
disease. CD is common in this age and it affects any part of GIT from
mouth to anus so it can explain both upper and lower GIT manifestation
in this patient, it is also associated by constitutional symptoms as
malaise and weight loss. Occasionaly hepatosplenomegaly..."
Well done Dr.Amira
- Another Answer from Dr.
Magdi Nagiub :
"..THE CASE: Male patient
26 years old complaining 4 months ago of abdominal pain, vomiting,
diarrhea and significant weight loss with his examination revealed
tender hepatomegally.
Differential Diagnosis:
- tender hepatomegally (infection,
congesion and malignancy)
- Crohn's disease (abdominal
pain, diarrhea, vomiting and weight, loss).
- it may be an infectious
cause (acute hepatitis) but unnoticed to be feverish or jaundiced
and uncommonly to be associated with significant weight loss. Other
infections (e.g. gastroenteritis) with septicemia that causing tender
hepatomegaly but the patient sought medical advice many times and this
thinking mostly be minded and the patient received antibiotics without
improvement.
- acute pancreatitis (but
not for 4 months).
- specific infection (TB)
but other criteria like fever not noticed but may be. but ??hepatomegally.
- malignancy (carcinoid)
or intestinal lymphoma
- porphyrea
- Thyrotoxicosis (diarrhea,
weight loss) but ?? abdominal pain and hepatomegally.
I think CT abdomen just
showing hepatomegally and may be thickening of intestinal wall and this
augment the suggestion of inflammatory bowel (Crhon's disease).
Finally thank you very much
and hoping that you will not be upset of my poor thinking..."
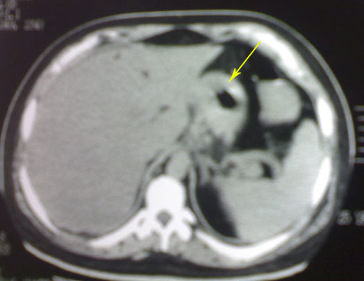
Thank you Dr.
Magdi but the last section of your discussion is the felicitous one.
The differential diagnoses were a lot, but the most accepted one is the
Crohn's Disease since it can explain all the sufferings of the
patient...please recheck the photo to see the increased bowel thickness
(arrowed) in addition to the hepatomegaly, however he has responded well
to the treatment of Crohn's disease.
![]() |
![]() |
N.B. Click on photo to enlarge



