Case 6
The Curious Case Of Multi-autoimmune Ailments Gathering Together
A male patient, 25 year-old married and has two daughters, was quite
well till seven months ago when he developed dyspnea on exertion, fever
and arthralgia.
He sought medical advice that revealed bilateral pleural effusion,
then he was admitted in the chest department where both bilateral
pleural aspirates and biopsy studies revealed nothing "non-specific
pleurisy".
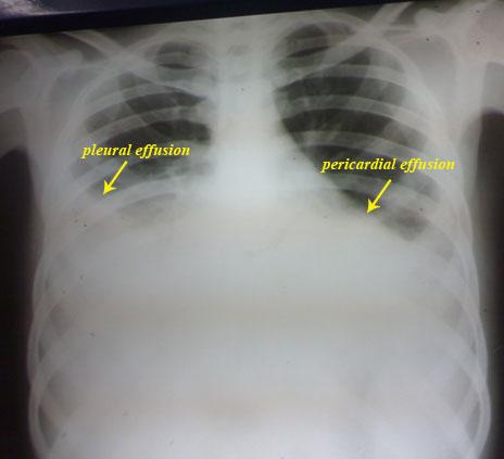
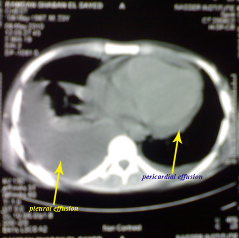
Now he presented feverish with facial flushing, oro-genital ulcers,
polyarthritis, lymphadenopathy, bilateral pleural and pericardial
effusion and ascites.
Regarding his
lab results:
- ↑ ESR, ↑ CRP
- the ANA and anti-dsDNA (positive with high levels)
- proteinuria.
|
|
|
The placeholder of a photo showing the genital ulcers of the same patient |
After treatment
|
Compare this case to these:
Submit your comment through the following section





