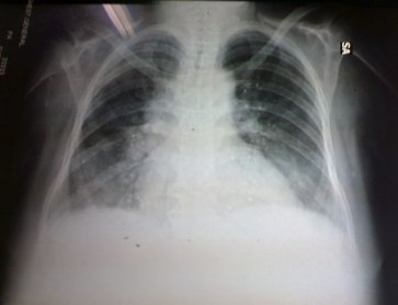
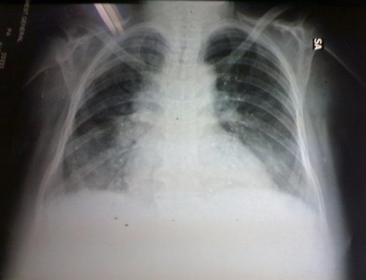
Case 23
She is in
her fifties and was perfectly fine until 4 months ago when she began
suffering from gradual progressive dyspnea, fever and in spite of many
medical consultations and treatments her condition continued to get
worse so that attended us.
Examination:
There was marked pallor, tachycardia,
tachypnea (50 c/m), systolic murmur, harsh vesicular breathing.
Chest X-ray: see the photo.
![]() |


